样品
成果详情
| 项目简介 | |||||
|---|---|---|---|---|---|
| 技术简介: | |||||
| 专利类型: | 发明 | 专利申请号: | CN202310939980.0 | 公开号: | CN118126164A |
| 专利权人: | 南方医科大学 | 发明设计人: | 余健海;赵卫;王琳清;黎卓韵;张宝;沈晨光;吴清华;肖维威 | ||
| 所属领域: | |||||
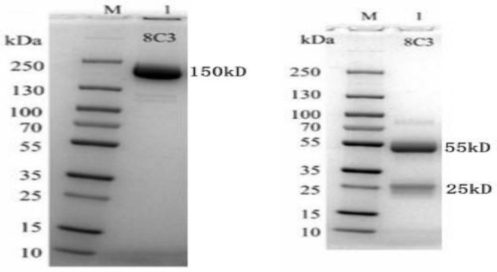
| 摘要: | 本发明提供一种抗DENVNS1蛋白单克隆抗体8C3及其应用,所述抗DENVNS1蛋白单克隆抗体8C3的重链的CDR氨基酸序列如SEQ ID No.2所示,轻链的CDR氨基酸序列如SEQ ID No.4所示。本发明还提供上述抗体在制备治疗登革病毒感染的药物中的应用,本发明所述抗体具有竞争结合DENV1‑4NS1蛋白、抑制血管渗漏症状及体内保护DENV感染的致命性损伤等方面优点,具有潜在抗病毒治疗价值。 | ||||
| 补充信息 | |||||
| 转让方式: | 成熟度: | 预估价值: | |||
| 市场前景: | |||||