样品
成果详情
| 项目简介 | |||||
|---|---|---|---|---|---|
| 技术简介: | |||||
| 专利类型: | 发明 | 专利申请号: | CN202110469551.2 | 公开号: | CN113240078A |
| 专利权人: | 南方医科大学 | 发明设计人: | 冯衍秋;陆琪琪;张鑫媛;连梓锋;王华峰;陈凌剑;龚剑;陈武凡 | ||
| 所属领域: | |||||
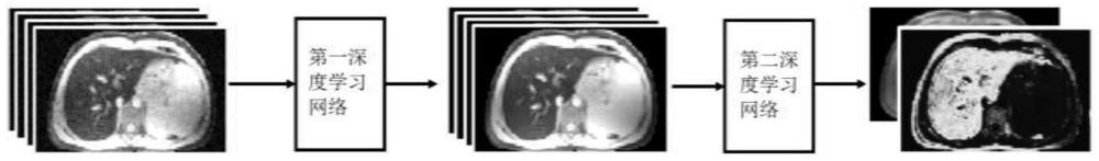
| 摘要: | 本发明公开了一种基于深度学习网络的磁共振R2*参数量化方法,该方法包括:使用第一深度学习网络对输入磁共振T2*加权图像进行去噪声处理;同时使用第二深度学习网络对经过噪声处理后的磁共振T2*加权图像进行磁共振R2*量化预测;所述第一深度学习网络和所述第二深度学习网络组建级联网络。使用深度学习算法对R2*参数进行量化,避免了传统算法的复杂性,减小了量化误差,提升了计算速度,缩短了计算所需的时间。 | ||||
| 补充信息 | |||||
| 转让方式: | 成熟度: | 预估价值: | |||
| 市场前景: | |||||