样品
成果详情
| 项目简介 | |||||
|---|---|---|---|---|---|
| 技术简介: | |||||
| 专利类型: | 发明 | 专利申请号: | CN202411069824.4 | 公开号: | CN118726609A |
| 专利权人: | 南方医科大学;广州动物园 | 发明设计人: | 陈玲;陈武;张晓峰;杜捷煜;陈佳星;刘雪媛;黄恩平;单芬 | ||
| 所属领域: | |||||
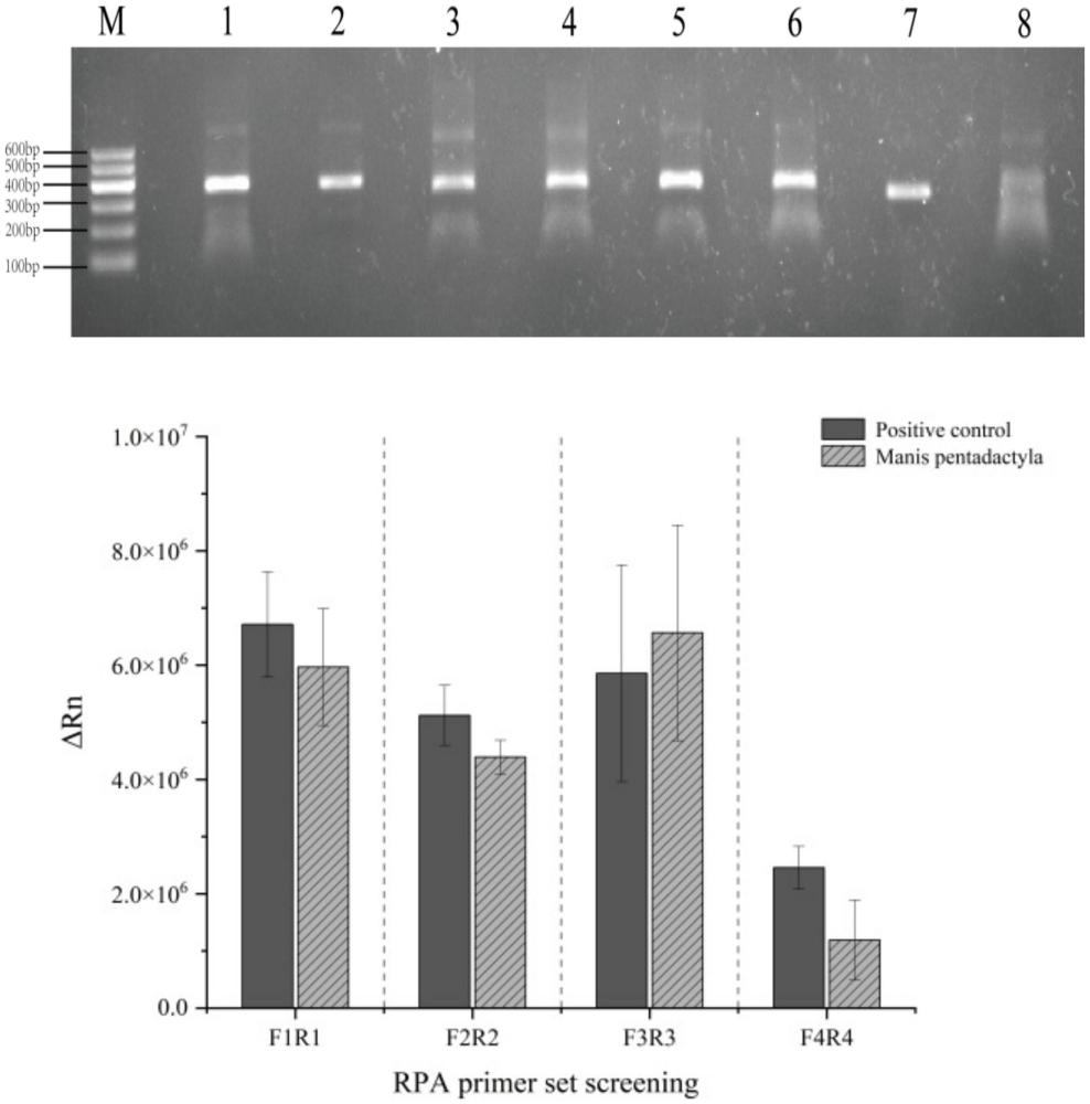
| 摘要: | 本发明涉及一种用于鉴别中华穿山甲的引物组及其应用,涉及生物检测技术领域。该用于鉴别中华穿山甲的引物组包括RPA引物组、Cas酶复合物和ssDNA探针,Cas酶复合物包括crRNA;RPA引物组用于扩增靶序列,靶序列选自Cytb基因,crRNA用于识别Cytb基因。利用该引物组能够解决上述法医实践和海关检验等现场检测中存在的一个或多个问题,在打击涉中华穿山甲违法犯罪案件方面发挥重要的价值。 | ||||
| 补充信息 | |||||
| 转让方式: | 成熟度: | 预估价值: | |||
| 市场前景: | |||||